
69歲李女士近幾個月發現右側鼠蹊部有個軟軟的膨出物,特別是在上大號用力的時候會鼓出來,鼓起來的時候會有點痛,但放鬆不理它後又會自己跑回去。
從昨天晚上開始因為持續嘔吐、沒有大便、肚子絞痛,且鼠蹊部的腫塊卡住不會消失,因此家屬帶她來到急診室。
經檢視診斷為鼠蹊部嵌頓型疝氣,造成腸子卡住,於是安排緊急手術處理,所幸手術順利,腸子還沒有壞死,患者術後觀察一、二天後順利出院。
問:女生也有疝氣?
答:是的。雖然比較少見,但女性的確也有疝氣。文獻統計發生疝氣比例男:女約為8:1。
男性一輩子會產生鼠蹊部疝氣的機會高達25%,而女性僅僅不到5%。至於疝氣好發的年齡,女性則比男性來的大,年齡中位數在60-79歲之間。

問:女生疝氣需要開刀嗎?
答:要。鼠蹊部疝氣分兩種:腹股溝疝氣及股疝氣。不管男女,腹股溝疝氣都是比較常見的,但女性有明顯較多的股疝氣。股疝氣最值得注意的是它很容易造成腸子的嵌頓、壞死。有較高的機率要做到腸段的切除。
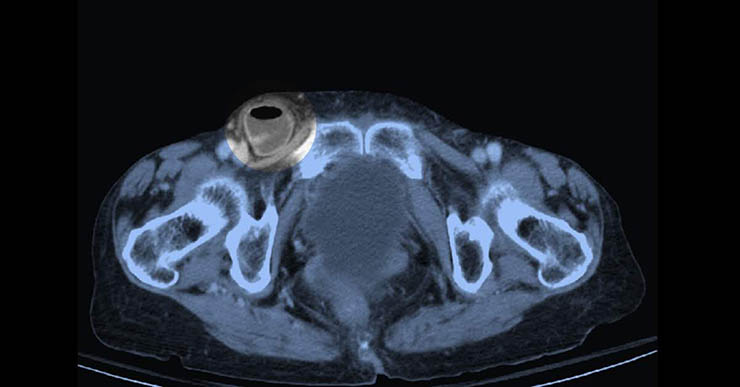
![]() |
| 右側鼠蹊部嵌頓型疝氣,可看見小腸卡住 |
因此比較建議發現疝氣就處理,不要等到腸子卡住,變成嵌頓性疝氣時再來開刀。依照目前的技術水準,手術後的復發機率通常可以控制在6%以下。

問:女性疝氣手術的選擇有那些?
答:有傳統手術與內視鏡手術供選擇。
由於女性疝氣較少見,因此比較難有充分的証據去評估那一種手術方式比較好。但近期有一篇丹麥資料庫的大型研究,收錄超過一萬例的女性疝氣手術資料做分析,得到的資料可以供我們參考。

研究主要結果如下:
1. 近七年(自2010年後),內視鏡手術已超越傳統手術,成為丹麥女性最常使用的疝氣手術方式
2. 與傳統手術相比,接受內視鏡手術的患者有較低的比率之後需要再次手術(指復發機率較低),而且有比較少的股疝氣復發。


這樣的研究結果其實並不意外,因為手術視野的不同,在內視鏡底下,比較可以完整的去檢視所有鼠蹊部缺損薄弱的部分,並做有效的修補,特別是股疝氣的部分,這是目前主流傳統手術比較欠缺的部分。
而如前面所提到,女性有較多的股疝氣,因此將內視鏡疝氣修補術應用在女性有它的優勢,這也是目前治療指引所建議的方式。

問:內視鏡疝氣手術有什麼適應症與禁忌症?
答:預計同時進行雙側疝氣手術、之前開過傳統疝氣手術但復發需要再次手術的患者,內視鏡是很好的選擇。
而在以下情況下,內視鏡手術並非絕對禁忌症,但需要仔細評估。
比如接受過內視鏡疝氣手術而復發需要再次手術的患者、疝氣嵌頓卡住、很大的疝氣、有感染徵兆的疝氣、之前有接受過下腹部手術之患者、無法承受全身麻醉的患者等。
問:所以簡單總結一下對女性疝氣的建議?
答:女性若發現有疝氣,建議手術處理。手術可以考慮使用內視鏡,仔細檢視腹腹壁薄弱處(特別是股疝氣的位置)並有效修補。
延伸閱讀
大人小孩都要留意的腹股溝疝氣(懶人包)
什麼是沾黏?
奪命兇手腹膜炎






