
最近有一位六十歲的阿姨,本來在追蹤大腸息肉,也有多年的糖尿病和關節炎病史。因為腸胃科醫生懷疑她有「肢端肥大症」,把她轉來內分泌科。
為什麼會懷疑「肢端肥大症」呢?這位阿姨的外觀已經非常典型,嘴唇肥厚、額頭的皮膚皺褶肥厚、鼻樑寬、舌頭粗大、手腳粗大。要買男生尺寸的鞋子才穿得下。
阿姨的身高 158 公分,我的身高是 173 公分,但是阿姨的手指寬度幾乎是我的兩倍!
什麼是肢端肥大症?
肢端肥大症(acromegaly),主要是生長激素(growth hormone, GH)分泌過多,造成手、腳等肢體末端肥大的疾病。盛行率為每百萬人口約 40 至 80 人,發生率為每年每百萬人口 3 到 4 人,屬於罕見的疾病。
其中生長激素過多的原因,有 98% 是因為腦下垂體長了一個腺瘤,分泌多過的生長激素。生長激素過多,在青春期以前,可以造成巨人症。在青春期以後,則會導致肢端肥大症。
死亡率是一般人兩倍!
比外觀改變更重要的,是肢端肥大症的人比較會有糖尿病、高血壓、高血脂、心臟瓣膜疾病、骨關節疾病、睡眠呼吸中止症、大腸息肉等。
這些直接或間接因素,使得肢端肥大症患者的死亡率是一般人的兩倍。
因為外觀的改變是很緩慢的,大部分病人都因為其他的症狀,在不同科別看病。發病到確診,平均晚了快十年。
要如何診斷呢?
依美國內分泌學會的臨床指引,如果外觀表現很典型,或者沒有明顯的肢端肥大症狀,但是有許多相關疾病,包含睡眠呼吸中止症、糖尿病、難治關節炎、腕隧道症候群、多汗症、高血壓等,建議檢測 IGF-1(insulin growth factor-1,類胰島素成長因子)。
IGF-1 是生長激素進入肝臟後,轉換成的生長因子之一。生長激素對於身體的功能,即是透過生長因子來完成。
正常的生長激素分泌,是不規則、脈動式的分泌,血中半衰期很短,所以很難從一般抽血檢查,去判斷生長激素是否正常。
IGF-1 的血中半衰期約 15 個小時,在血中濃度較穩定。所以要看是否有生長激素分泌過多,要先驗 IGF-1。
指引還特別強調,不要用隨機抽血的生長激素(random GH)來做診斷。
如果 IGF-1 上升、或稍微偏高,就要安排 75 克口服葡萄糖水試驗來確診。正常的生長激素會被葡萄糖抑制到 1 ng/ml 以下。(有的指引建議要壓到 0.4 ng/ml 以下才正常)
這位阿姨在門診抽血的 IGF-1 濃度,是同性別和年齡正常範圍的四倍。口服葡萄糖水試驗,最低的生長激素濃度都還有 11.6 ng/ml,所以確診是肢端肥大症。
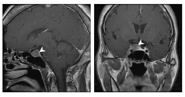
做核磁共振檢查腦下垂體
接下來就是腦部的核磁共振檢查,看腦下垂體是否真的有腺瘤。
結果腦下垂體有一顆已經 2 公分大的腺瘤。

該怎麼治療呢?
肢端肥大症的治療方式,以蝶竇垂體腺瘤切除術為首選。手術後,如果口服葡萄糖試驗的生長激素沒辦法抑制到 1.0 ng/ml 以下(或 0.4 ng/ml 以下),或者真的沒辦法手術的人,才會考慮用藥物治療。
放射線治療,因為治療時效較慢,而且造成腦下垂體功能低下的可能,原則上是連藥物治療也失敗才考慮。
貼心小提醒
從病史問起來,阿姨可能從二十幾歲就有肢端肥大的表現,現在六十歲了才被診斷,真的晚了點。如果有病人或親友,有手掌粗厚、鞋子尺寸越買越大,記得排除是否有肢端肥大症。
醫師在開立檢查時,記得要驗 IGF-1,不是 random GH!





