
唾液腺每天分泌唾液幫助消化,但是當唾液腺因為結石而阻塞時,不僅使正常分泌唾液的功能受阻,也會造成很多令人不適的症狀。
唾液腺結石好發在水份攝取不足或有抽菸習慣的人身上,讓我們來了解一下什麼是唾液腺結石?又該怎麼辦?
是什麼唾液腺?
「唾液腺」是人體的一種消化腺體,分布在口腔周圍,一般而言唾液腺可以分為四種,分別是耳下腺(腮腺)、頷下腺、舌下腺、小唾液腺,其中腮腺、頷下腺、舌下腺又稱為大唾液腺。

每天唾液腺所分泌的唾液,會經由唾液腺的導管進入口腔,唾液功能是潤濕口腔、維持口腔清潔,而且可以協助分解澱粉。健康的成年人每天大約會分泌一公升的唾液。
哪些唾液腺容易發生結石?
以發生唾液腺結石的腺體而言,大約有80-92%唾液腺結石是發生在「頜下腺」,發生在「腮腺」的結石則大約為6-20%,而從「舌下線」或小唾液腺則很少發生唾液腺結石[1,2,3]。
以性別而言,男性比女性更容易發生唾液腺結石,而多數患者的年齡是介於30至60歲之間。唾液腺結石大部分發生於單側(75%),較少發生於雙側[4,5]。
為什麼會出現唾液腺結石?
目前的研究尚未能確定唾液腺結石的確切原因,但是一般認為和富含鈣離子的唾液停滯有關,因為在正常人體唾液應該是流動的,如果唾液因為某些原因而無法順暢流動時,唾液的停滯就可能引起唾液腺結石。
唾液結石主要的成分是磷酸鈣[1], 而唾液腺的慢性發炎常常也是造成結石的一個促成因子。
在三個大唾液腺中,研究顯示頜下腺較容易形成結石,因為頷下腺的管道很長;唾液的流動速度又較慢(因為頷下腺位於口腔的底部,唾液流動的方向是朝上,所以流動時需要克服重力);下頷腺的唾液又富含黏蛋白(mucin)和鈣,這幾個都是下頷腺出現結石的相關成因[6]。
其他和唾液腺結石相關的危險因子還有這些[1,7,8,9]:
● 水分攝取不足
● 抽煙
● 某些藥物,例如: 利尿劑、抗膽鹼藥物
● 某些疾病:腎結石、慢性牙周病、痛風、唾液腺曾經受傷等等
唾液腺結石會出現哪些症狀?
唾液腺結石的典型症狀是疼痛和唾液腺腫脹,而這些症狀通常又會因為進食,甚至是想到要進食而加重。但是唾液腺結石也可能以無痛的頸部腫脹來表現,也有患者都沒有任何不適,卻在常規健康檢查時意外發現到有唾液腺結石。
唾液腺腫脹和不適的症狀可以是時好時壞,但也可能是一直持續而沒有消退。如果患者因為感染而發生了唾液腺炎(sialadenitis),那唾液腺的疼痛以及頸部腫脹通常會跟著變得更加嚴重。
做什麼檢查可以幫助診斷唾液腺結石?
當臨床上懷疑有唾液腺結石,但是在醫師門診檢查中卻沒有明顯看到或觸診到結石時,影像研究可以提供醫師額外的資訊以供判斷。
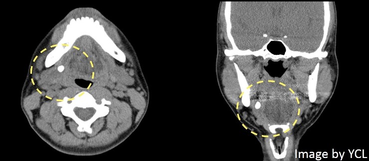
電腦斷層掃描:高解析度的斷層掃描是目前大部分醫師用來檢查唾液腺結石的首選工具[10],當只需要檢查是否有唾液腺結石的時候,不需要在接受電腦斷層前注射顯影劑,因為大多數結石就已含有足夠的鈣成分以供顯影。而與一般X光片相比,電腦斷層掃描對結石的檢查靈敏度高了10倍,但是電腦斷層可能就需要注意切面的間隔不能太寬,以確保結石能被檢查到。
![]() |
| 在電腦斷層影像中,唾液腺結石有清楚的顯影 |
X光片:一般X光片也可以用來檢查部分的唾液腺結石,但是因為某些唾液腺結石的特性就是在X光下無法顯影,所以目前大多數醫師還是會考慮使用電腦斷層。
超音波:有研究指出唾液腺結石如果是大於0.2公分的話,90%以上都可以在超音波檢查下發現[11,12]。超音波的優點是不像X光或電腦斷層會有放射線的暴露,而且也能用來檢查放射線無法顯影的石頭[4]。
唾液腺造影:唾液腺造影(sialography)是指將一個導管插入唾液腺管道在口腔中的開口,接著注射顯影劑拍攝影像的一種檢查。因為檢查過程較為侵入性,而插入導管的技術又較為困難,在現今臨床上已經較少使用,因為電腦斷層及超音波檢查也都能提供唾液腺結石良好的評估[10]。
唾液腺結石要如何治療?
一般治療
保持良好的水分攝取,在有結石的唾液腺位置可以先使用濕敷和熱敷,並且按摩腺體,藉著濕敷熱敷且按摩的方式來盡量使唾液流動順暢。唾液腺結石所引起的疼痛則可以用常見的止痛藥控制(非類固醇抗炎藥NSAID)。
由於唾液腺結石也可能引發細菌感染,所以在臨床上懷疑感染時,就需要積極使用抗生素治療,因為當感染控制不好時,感染的位置就可能會化膿,膿液如果累積在頸部的話會有影響呼吸的可能,所以在處理感染時需要謹慎。一般來說如果計畫使用手術來移除唾液腺結石,大部分會建議在感染控制良好後才行手術,以減少併發症。當保守治療效果不佳或是症狀明顯影響生活時,就需要考慮使用手術方法來移除結石了。
手術處理
由於唾液腺位於口腔周圍,所以在手術處理唾液腺結石的時候,大致上可以分為經由口腔移除結石的經口途徑(transoral approach),以及經由外部處理的經頸部途徑(transcervical approach),因為經口途徑不會在頸部或顏面部留下手術的傷痕,所以如果唾液腺結石的大小及位置適合經口處理,醫師常會先考慮採用經口途徑。以頜下腺結石而言,大約有50%可以通過經口途徑來移除結石,但是當結石的位置離口腔很遠時,可能就不適合使用經口途徑[13]。當結石的大小及位置都難以使用經口途徑或是微創方法移除時,就需要以經頸部途徑來移除結石。
![]() |
| 經頸途徑所移除的唾液腺結石(左)以及頷下腺(右) |
唾液腺內視鏡
唾液腺內視鏡是以一根很細的內視鏡,從唾液腺管在口腔的開口進入,可以檢查管道內的結構及移除管道內的唾液腺結石。在一個系統系統性回顧的研究中,唾液腺內視鏡在處理結石、唾液腺阻塞、唾液腺狹窄等等狀況的成功率約為86% [14]。在目前唾液腺內視鏡的處理中,也可以用雷射將結石擊碎,以使相對較大的結石能被順利移除。
![]() |
| 唾液腺內視鏡可以經由唾液腺管道來移除結石,圖中黃色的部分就是位於唾液腺管道內的結石。 |
希望透過上述介紹,能讓你對唾液腺結石有一些了解,當然如果您的症狀很類似唾液腺結石的話,建議還是要讓醫師評估喔!
參考資料:
1. Williams MF. Sialolithiasis. Otolaryngol Clin North Am 1999; 32:819.
2. Pfaff J, Moore GP. Otolaryngology. In: Rosen’s Emergency Medicine: Concepts and Clinical Practice, Marx J (Ed), Mosby Inc, St. Louis 2002. p.935.
3. Mandel L. Salivary gland disorders. Med Clin North Am 2014; 98:1407.
4. McKenna JP, Bostock DJ, McMenamin PG. Sialolithiasis. Am Fam Physician 1987; 36:119.
5. Rice DH. Noninflammatory, non-neoplastic disorders of the salivary glands. Otolaryngol Clin North Am 1999; 32:835.
6. Work WP, Hecht, DW. Inflammatory Diseases of the Major Salivary Glands. In: Otolaryngology, Papparella MM, Shumrick DF (Eds), WB Saunders, Philadelphia 1980. p.2235.
7. Huoh KC, Eisele DW. Etiologic factors in sialolithiasis. Otolaryngol Head Neck Surg 2011; 145:935.
8. Wu CC, Hung SH, Lin HC, et al. Sialolithiasis is associated with nephrolithiasis: a case-control study. Acta Otolaryngol 2016; 136:497.
9. Hung SH, Huang HM, Lee HC, et al. A population-based study on the association between chronic periodontitis and sialolithiasis. Laryngoscope 2016; 126:847.
10. Salivary gland anatomy and physiology. In: Head and Neck Imaging, Som PM, Curtain HD (Eds), Mosby, St. Louis 2003.
11. van den Akker HP. Diagnostic imaging in salivary gland disease. Oral Surg Oral Med Oral Pathol 1988; 66:625.
12. Alyas F, Lewis K, Williams M, et al. Diseases of the submandibular gland as demonstrated using high resolution ultrasound. Br J Radiol 2005; 78:362.
13. Iro H, Zenk J, Escudier MP, et al. Outcome of minimally invasive management of salivary calculi in 4,691 patients. Laryngoscope 2009; 119:263.
14. Strychowsky JE, Sommer DD, Gupta MK, et al. Sialendoscopy for the management of obstructive salivary gland disease: a systematic review and meta-analysis. Arch Otolaryngol Head Neck Surg 2012; 138:541.








